Cases
症例紹介
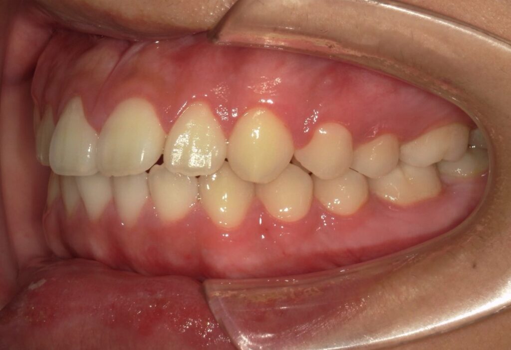
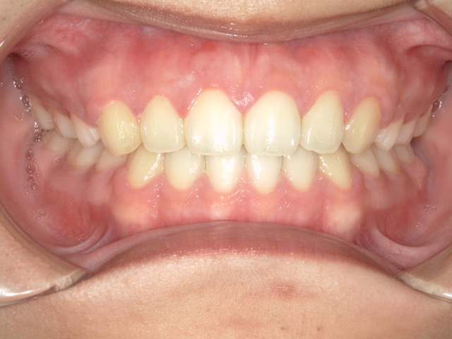
上下前歯の突出を伴うAngle I級症例

Before

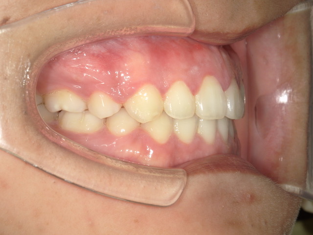
After
| 主訴 | 出歯と口ボコ(口元を下げてスッキリしたい) |
|---|---|
| 診断 | 上下前歯の突出を伴うAngle I級症例 |
| 年齢 | 女性 16歳 |
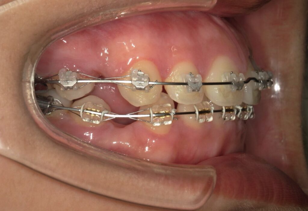
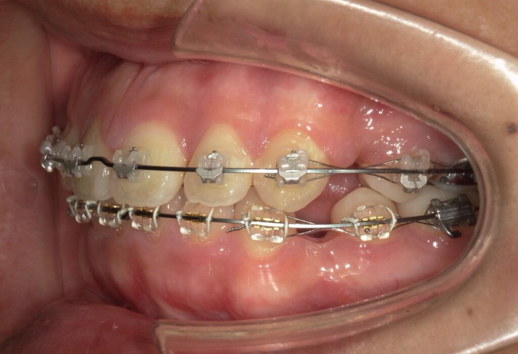
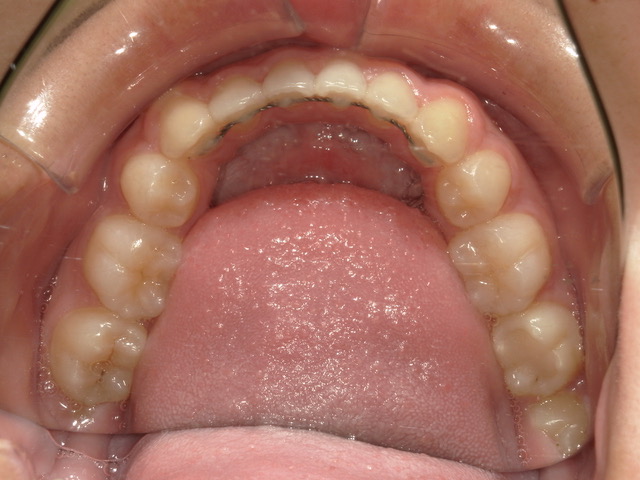
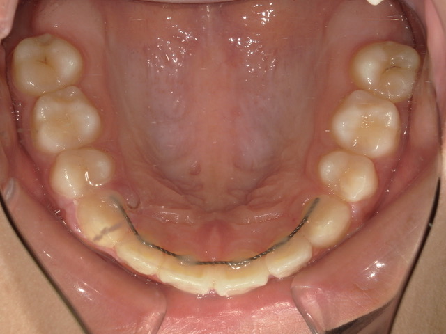
| 使用装置 | 上下とも表側の装置(白いブラケット) |
| 原因 | 歯と顎の大きさの不調和 |
| 治療方針 | 上顎左右第一小臼歯の抜歯。奥歯の固定源としてアンカースクリューを使用。 |
| 治療回数(治療期間) | 1年8ヶ月 24回来院 |
| 費用 | 93.5万円(消費税込) |
| 治療のメリット | ①口唇の突出感の改善を主訴に来院された方です。小臼歯4本抜歯を行い、本人、母親ともに大変満足されました。 ほうれい線の出現や口元の後退量は、個人差があります。治療前に主治医との検討が必要です。 ②上下前歯の正中線が一致し、奥歯の噛みわせが調和した。 ③歯磨きが楽になる、カリエス・歯周炎の予防に役立つ。 |
| 治療時のリスク | ①歯の動き方には個人差があります。そのため、予想された治療期間が延長する可能性があります。 ②前歯の移動により、矯正治療中に歯根が短くなることがありす。 ③治療終了後も加齢や歯周病、悪習癖や親知らず等、様々な要因により少しずつ歯並びは変化します。装置が外れた後、保定装置を指示通り使用されないと後戻りが生じる可能性が高くなります。 ④矯正歯科治療は、一度始めると元の状態に戻すことは難しくなります。 |
治療前



治療中



治療後





